清砥量子科学仪器(北京)有限公司

16

手机商铺

qrcode
商家活跃:
产品热度:
  • NaN
  • 0
  • 0
  • 1
  • 0

清砥量子科学仪器(北京)有限公司

入驻年限:16

  • 联系人:

    QuantumDesignChina

  • 所在地区:

    北京 朝阳区

  • 业务范围:

    医疗器械、实验室仪器 / 设备

  • 经营模式:

    代理商 生产厂商

在线沟通

公司新闻/正文

台式电镜新成果!这台多功能电镜无负染、无损伤,高清探索细胞超微结构

581 人阅读发布时间:2023-11-15 23:08

       传统高压透射电子显微镜 (TEM) 的样品制备通常使用醋酸双氧铀和柠檬酸铅等重金属元素染色剂。然而,由于醋酸双氧铀的高毒性、日益严格的法律法规以及复杂的废物处理问题,科研工作者开始逐步减少使用这种染色剂并探究更加无害便捷的生物样品透射成像工具。
 
新闻图片1
       
       
为了研究不同成像和染色策略对生物样品透射成像的影响,捷克科学院的Vladislav Krzyzanek团队与Delong公司合作,使用无需负染LVEM25低电压生物型透射电子显微镜传统200kV透射电子显微镜分别观察未染色的及用柠檬酸铅、醋酸双氧铀染色的蓝藻切片样品。所得结果以Urany-Less Low Voltage Transmission Electron Microscopy: A Powerful Tool for Ultrastructural Studying of Cyanobacterial Cells 发表在Microorganisms 上。

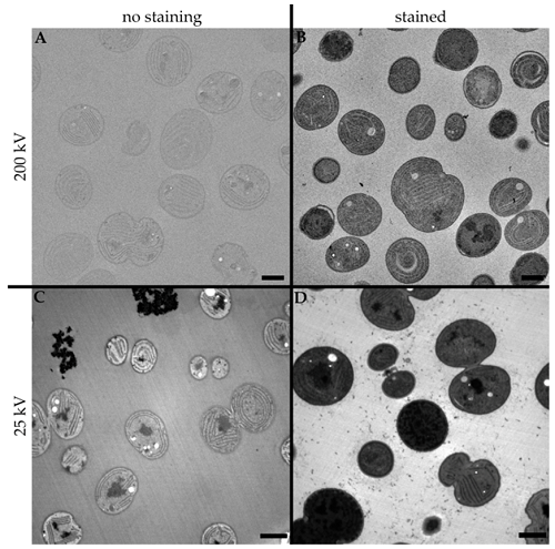
       该研究团队制备了用醋酸双氧铀和柠檬酸铅负染的蓝藻细胞切片以及无负染的蓝藻细胞切片(切片厚度75nm),使用传统的200kV透射电镜与LVEM25生物型透射电子显微镜对这些样品进行了观察。如下图所示,图A中传统透射电镜下的细胞切片几乎无法观察细胞的内部结构,图B和图C可以清楚地观察到蓝藻的内部囊泡结构。
 
新闻图片2
图1. (A) 200 kV加速电压,无染色蓝藻细胞切片,(B) 200 kV加速电压,用醋酸双氧铀和柠檬酸铅染色蓝藻细胞切片,(C) 25 kV加速电压(LVEM25),无染色蓝藻细胞切片,(D) 25 kV加速电压(LVEM25)并用乙酸双氧铀和柠檬酸铅染色蓝藻细胞切片。 标尺:1 µm。

       通过下图可以观察到,使用200kV电镜观察醋酸双氧铀和柠檬酸铅负染的样品(左图)与25kV电镜观察非负染的样品(右图),均可清晰的观察蓝藻细胞内的类囊体(箭头所指)、羟基体(三角形标记)、糖原颗粒(gg标记)等细胞内部的超微结构。同时25kV观察的非负染样品表面由染色液造成的“噪声”更低,超薄切片机刀片切割的痕迹都清晰可见,核糖体等颗粒的衬度(黑白对比度)更高
 
新闻图片3
图2. 使用不同成像条件获取蓝藻细胞的细胞内结构。
(A) 使用醋酸双氧铀和柠檬酸铅染色的样品,使用 200 kV 电镜成像;(B) 未染色的样品,使用 25 kV(LVEM25)成像。箭头标记的细胞内结构:类囊体膜; 箭头:PHA颗粒; 三角形:羧基体; 十字:冲掉的颗粒; gg:糖原颗粒。 标尺:500 nm。

       此外,为了检查减少色差的可能性(色差在使用较低能量的电子成像时通常会引起问题),还使用扫描透射电子显微镜(STEM)在 15 kV 加速电压下对样品进行了成像。 如下图所示,使用重金属负染液可能残留沉淀的重金属染液杂质,这些质密的杂质会在成像过程中留下“伪影”,导致观察者无法准确判断生物样品的结构特征。
 
新闻图片4
图3. LVEM25生物型透射电镜的STEM模式在 15 kV 加速电压电子束蓝藻细胞进行成像。
A:未染色的样品,B:使用乙酸双氧铀和柠檬酸铅染色的样品。 杂质用箭头标记。标尺:1 µm

       LVEM25兼具STEM成像模式,15kV的STEM 提供了蓝藻细胞超微结构的清晰图像,具有令人满意的对比度且15kV的STEM对负染样品成像的对比度更佳(见下图B/D)。
 
新闻图片5
图4.使用LVEM25在不同成像模式下获得的蓝藻细胞图像的比较。
(A)使用 LVEM25在 TEM 模式下成像的未染色样品,(B) 使用 LVEM25在 TEM 模式下成像的乙酸双氧铀和柠檬酸铅负染样品,(C) 使用 LVEM25在 STEM 模式(15kV)下成像的未染色样品,(D) 使用 LVEM25在 STEM 模式(15kV)下成像的乙酸双氧铀和柠檬酸铅染色样品。 标尺:1 µm

       综上所述,传统的200kV透射电镜负染成像与LVEM25非负染成像都为我们提供了有关蓝藻细胞内结构的详细图片。而使用LVEM25成像的未染色样品在检测到的图像中显示出超小的“噪声”。而且与传统染色相比,细胞内的糖原颗粒也更清晰可辨。传统染色成像样品图像中的由染色液沉淀造成的“噪声”与“伪影”更加明显,会导致细胞内原本存在的质密颗粒(如糖原)被误认为是染液的污染,LVEM25则完全摆脱了这些传统重金属负染液带来的成像问题同时LVEM25兼具的STEM成像模式也可以对生物样品取得良好的成像效果

       上述研究使用的LVEM25生物型透射电子显微镜,采用了25kV的低加速电压设计,一次性地摆脱了上述所有的成像难题,LVEM25还可以对病毒、细菌、脂质体、外泌体等生物样品无负染直接成像,为生物样品的电镜成像提供尤为便捷高效的解决方案。
 
新闻图片6
图5. LVEM25成像实例 A:腺相关病毒 B:拟菌病毒 C:脂质体 D:成纤维细胞与细菌

       传统高压透射电镜本身就会带来样品细节损失,在80-120kV下的透射电镜成像过程中,大量十几纳米尺寸的颗粒会直接被“击穿”。而LVEM25生物型透射电镜采用的25kV低电压设计,不仅避免了传统高压透射电镜长时间照射对于生物样品、有机纳米颗粒的损害,还可以保留下更多地小有机颗粒图像,获得更多地细节
 
新闻图片7
图6. 有机纳米颗粒成像 左:80kV条件下成像 右:LVEM25成像

LVEM25生物型透射电子显微镜技术特点:

高衬度:低能量电子对有机分子产生更强烈的散射,具有更高对比度。
无需染色:突破以往生物/轻材料成像需要重金属染色的局限性。
高分辨率:无染色条件下能够达到1.0 nm的图像分辨率。
多模式:LVEM25能够在TEM、STEM模式中自由切换。
高效方便:真空准备只需要3分钟,空间小,环境需求低。
易操作且成本低:友好智能化操作界面,低耗材,低维护费用,无需专业操作人员。

 
新闻图片8
 
LVEM25生物型透射电子显微镜

参考文献:
[1]. Mrazova K, Bacovsky J, Sedrlova Z, et al. Urany-Less Low Voltage Transmission Electron Microscopy: A Powerful Tool for Ultrastructural Studying of Cyanobacterial Cells[J]. Microorganisms, 2023, 11(4): 888.


相关产品:
1、低电压台式透射电子显微镜-LVEM5

上一篇

外泌体研究快车道!全自动外泌体荧光检测分析系统落户海军军医大学附属公利医院

下一篇

无掩膜直写光刻系统,助力Nat. Commun.!揭示土壤孔隙环境中生物膜群落组装新机制

更多资讯

我的询价